La fusión de células normales puede llevar a la generación de cáncer, señala un estudio realizado por la Universidad de Michigan y la Clínica Mayo, ambos en Estados Unidos.
La fusión (que se produce cuando la célula se daña, se inflama o sufre una infección vírica) puede provocar "catástrofes genómicas" que transforman células normales en cancerígenas, describen los investigadores en una publicación de la revista "The American Journal of Pathology".

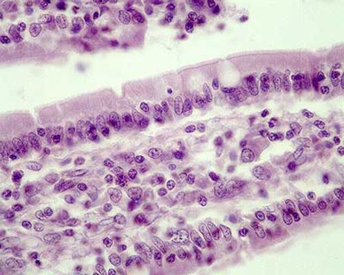
Los científicos se centraron en el análisis de células epiteliales intestinales IEC-6 de ratas que carecen de las características cancerígenas y se replican con normalidad. Los resultados demostraron que en los 12 meses siguientes se detectó la formación de tumores en el 61 % de los animales con células fusionadas.
Asimismo, Xiaofeng Zhou, otro de los autores del estudio, recalcó que el hallazgo demuestra que "una sola fusión celular puede desencadenar procesos malignos y alimentar la evolución del tumor que conlleva", información que podría ser utilizada para su prevención.
- PUEDE INTERESARTE: Tomar café a diario disminuye el riesgo de padecer cáncer






