Aún se desconoce qué secuelas tendrá el Covid-19 en las personas que vencieron la enfermedad. Pero, una cirujana reveló los estragos que ocasiona en los pulmones, afirmando que son peores que el daño por fumar.
OTRAS NOTICIAS: Covid-19: Expertos explican causas de muerte tras aplicarse la vacuna
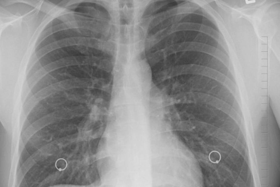
La especialista comparó en redes sociales las radiografías de pulmones de pacientes normales, de pacientes con Covid-19 y de fumadores, el resultado es alarmante.
“Los pulmones post-covid se ven peor que cualquier tipo de pulmón de fumador que hayamos visto y colapsan y se coagulan y la falta de aire persiste y no para”, afirmó Brittany Bankhead-Kendall, profesora asistente de la Universidad Técnica de Texas.
“Todo el mundo está muy preocupado por la mortalidad y es terrible, horripilante, pero para todos los sobrevivientes y las personas que dieron positivo, esto va a ser un gran problema”, aseguró la especialista al canal CBS Dallas-Fort Worth.

Los pacientes que sobreviven al Covid-19
La doctora, quien trató a cientos de pacientes con Covid-19, advierte que entre el 70% y 80% de los infectados asintomáticos experimentan un daño similar a sus pulmones: “Todavía hay personas que dicen ‘Estoy bien. No tengo ningún problema’ y cuando les haces una radiografía de tórax se ve realmente mal”.
La doctora afirma en que es necesario seguir tomando las medidas necesarias para evitar contagios porque las consecuencias en el cuerpo pueden ser irreversibles incluso para los asintomáticos.
“No es algo que puedas ignorar. Esto no es algo que quieras tener incluso si sobrevives, es posible que quedes con algunas complicaciones graves que te hagan muy difícil volver a tu funcionamiento inicial”, puntualizó.
Los expertos aseguran que las secuelas se verán en unos años.
Look at this comparison of the lungs from a healthy person, a smoker, and someone with COVID-19. Our society shares wide concerns over smoking. This should be echoed by unified passion to beat the coronavirus. Notice the differences here… pic.twitter.com/OksGqH1OZ9






