A través de un grupo de reveladoras radiografías, una especialista mostró la gravedad y el daño de los pulmones por el coronavirus, al punto de quedar en peor estado que los de un fumador.
La médico Britanny Bankhead-Kendal explicó que, según su experiencia al atender pacientes con Covid-19, ha notado que los pulmones muestran daños severos que podrían tener consecuencias de por vida. Incluso los pacientes asintomáticos presentan daño severo en un 70% u 80%.
“Los pulmones post-covid se ven peor que cualquier tipo de pulmón de fumador terrible que hayamos visto. Colapsan, se coagulan y la dificultad para respirar persiste… y sigue”, escribió en un post de Twitter, por ello enfatizó que es importante poner atención a la salud de quienes llegan a superar la enfermedad y no dejarlo ahí.
“El mundo está tan preocupado de la mortalidad y eso es terrible, pero para todos los sobrevivientes y personas que dieron positivo esto (el daño pulmonar) va a ser un problema”, dijo.
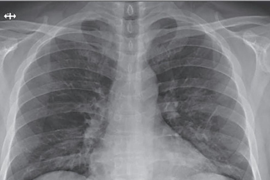
La doctora Bankhead-Kendall publicó imágenes a través de su cuenta de Twitter, de pulmones sanos y afectados.
Se puede ver que los pulmones sanos tienen una gran parte de color negro, esto es aire. En los órganos de personas fumadoras se aprecian líneas blancas que indican cicatrización y congestión y en las de una persona que padeció Covid-19 el color que predomina es blanco.
“Si no sientes problemas ahora, que eso esté en la radiografía de tu tórax indica que posiblemente tengas problemas más adelante”, aseguró.
Britanny dijo que el contacto con el médico de cabecera es importante, pues se podrían presentar secuelas más adelante.
COVID LUNGS
Texas doctor @BKendallMD tells me “post-COVID” lungs are worse than any smokers lungs she has ever seen. And it’s a trend she is witnessing in current and recovered patients. Our story tonight on @NewsNationNow.
Scroll: 1) Healthy 2) Smokers 3) COVID pic.twitter.com/Iu9V8OrpnK
- TE PUEDE INTERESAR:





