El cerebro, es de los órganos que más comprometidos tras contraer Covid-19, según un nuevo estudio.
OTRAS NOTICIAS: Esta es la solución para evitar que el Covid-19 afecte el corazón
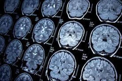
Un estudio publicado el 7 de marzo en la revista Nature, reveló alarmantes datos sobre los daños que puede ocasionar el Covid-19 en el cerebro, esto sin importar si fueron casos graves o leves, pues con el solo hecho de contraer la enfermedad las personas correrían el riesgo.
De acuerdo con la investigación, el cerebro puede llegar a experimentar envejecimiento acelerado, pérdida de la materia gris y anomalías en el tejido cerebral. Esta nueva información fue corroborada con estudios realizados en los cerebros de personas que no han enfermado del virus del SARS-CoV-2.
"Nos sorprendió bastante ver diferencias claras en el cerebro incluso con una infección leve", dijo Gwenaëlle Douaud, profesora asociada de neurociencias en la Universidad de Oxford y autora de la investigación.

Alarmantes resultados
Los estudios fueron realizados a través de imágenes cerebrales de 401 pacientes 4 meses después de que se recuperaron del Covid-19, y fueron comparados con 384 imágenes, de individuos sanos, es decir, sin haberse enfermado del virus.
Quince de los 401 evaluados fueron hospitalizados por gravedad de la infección. El rango de edad de los voluntarios fue de los 51 y 81 años.
La autora de la investigación, señaló que la pérdida de la materia gris en áreas del cerebro, cada año es normal y está comprendida entre el 0.2% y 0.3%.
Sin embargo, lo preocupante de esta situación es que los pacientes infectados de Covid-19, perdieron en cuestión de meses el 0.2% y 2% más del tejido, a diferencia de quienes no se han contagiado.

Más investigaciones
El artículo científico, también señaló que se analizó la función ejecutiva y cognitiva de los participantes. Se llevó a cabo a través de una herramienta la cual permitió la detección de deficiencias asociadas con la demencia.
"Dado que los cambios anormales que observamos en los cerebros de los participantes infectados podrían estar relacionados en parte con su pérdida de olfato, es posible que su recuperación lleve a que estas anomalías cerebrales sean menos marcadas con el tiempo. Del mismo modo, es probable que los efectos nocivos del virus (ya sean directos o indirectos a través de reacciones inflamatorias o inmunitarias) disminuyan con el tiempo tras la infección. La mejor manera de averiguarlo sería volver a escanear a estos participantes dentro de uno o dos años", indica la investigación.
Por su parte, Alan Carson, profesor de neuropsiquiatría del Centro de Ciencias Clínicas del Cerebro de la Universidad de Edimburgo, que no participó en el estudio, agregó que el cerebro efectivamente puede verse comprometido.
"El cerebro puede verse afectado por otros mecanismos, como cambios inmunológicos, inflamatorios, vasculares o psicológicos/de comportamiento, pero no por una infección directa", dijo el especialista.
"Lo que este estudio muestra casi con seguridad es el impacto, en términos de cambios neuronales", sostuvo.
*Con información de CNN en Español.






