La Radiopaedia es una enciclopedia en línea en la que radiólogos de todo el mundo comparten sus experiencias.
Una de las cosas más llamativas es la enorme colección de radiografías curiosas que sus usuarios han subido.
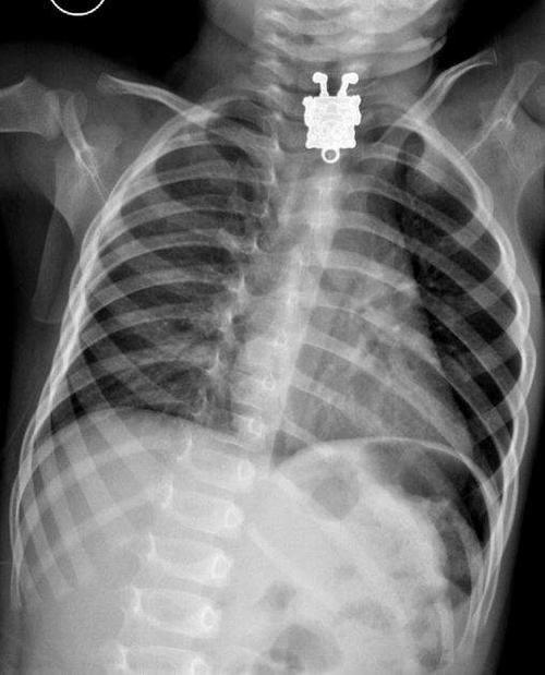
En este sitio se pueden encontrar ejemplos de niños que se tragaron objetos, como un anillo, un par de baterías o incluso un muñeco de Bob Esponja.
También hay varios ejemplos de heridas traumáticas, desde palos hasta balas pasando por espinas de pescado.
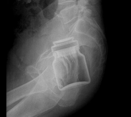
Una mención especial merece la colección de radiografías correspondientes a elementos extraños insertados voluntariamente en el cuerpo, como botes de desodorante, botellas de bebida energética, frutas y verduras o hasta un huevo son algunos de los casos que los autores de la Radiopaedia han compartido.
Aquí el bote con alfileres. ¿A quién se le ocurre?

Una vez la berengena ingresó en el cuerpo de esta persona, no hubo forma de recuperarla. El avergonzado personaje tuvo que presentarse en el hospital para resolver su problema.

La web acumula cerca de 18 mil casos de estudio y más de siete mil 500 artículos para profesionales de los Rayos X.
*Con información de www.20minutos.es





